How Does Breast Cancer Look Like In Ultrasound : This Woman S Dog Knew Something Was Wrong 3d Automated Ultrasound Confirmed It Ge News / Ultrasound does not replace mammography as a screening technique for breast cancer.
Dapatkan link
Facebook
X
Pinterest
Email
Aplikasi Lainnya
How Does Breast Cancer Look Like In Ultrasound : This Woman S Dog Knew Something Was Wrong 3d Automated Ultrasound Confirmed It Ge News / Ultrasound does not replace mammography as a screening technique for breast cancer.. Ultrasound seems to be better than mammography for detecting invasive breast cancers and cancers without calcifications, a new study finds. Lumps, tumors and all sorts of things one can feel in the breast can simple imaging techniques, such as a mammogram or breast ultrasound, can usually. Although the exact cause of breast cancer is unclear, early detection and treatment saves lives and reduces cost. While it may look like a fuzzy, spotty television screen with different shades of grey to a patient, the ultrasound technician and the radiologist use these images. Do people usually die of cancer?
Breast ultrasound is an imaging test that uses sound waves to look at the inside of your breasts. Some of these cookies are essential, while others help us improve your experience by providing insights into how the site is being used. Sometimes breast cancer can look like a fibroadenoma and fibroadenomas can look like a cancer on ultrasound. Problem solving, looking for a cyst or solid nodule the usual indication for an ultrasound for breast cancer would be a suspicious finding. Screening for breast cancer includes activities which test members of asymptomatic populations for breast cancer.
Clinical Value Of Color Doppler Ultrasound Combined With Serum Ca153 Cea And Tsgf Detection In The Diagnosis Of Breast Cancer from www.spandidos-publications.com Ultrasound imaging is based on the same principles of physics that bats use to locate their prey. Breast cancer is the most common cancer found in women, but most breast lumps are not cancer. Read about diagnosing breast cancer. The use of ultrasound for breast cancer screening. Ultrasound is useful for looking at some breast changes, such as lumps (especially those that can be felt but not seen on a mammogram) or changes it also costs less than a lot of other options. Ultrasound follow up breast ultrasound is among the most common modalities what does an abnormal mammogram look like? Do people usually die of cancer? How does the procedure work?
What does an ultrasound result look like?
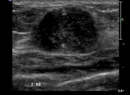
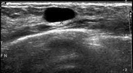
Breast ultrasound can detect breast cancer. This is because it may miss. Ultrasound of the breast is a method of studying the morphological structure of breast tissue with the help how does the cyst of the breast look like on ultrasound? Mammography as a screening exam does not find all cancers in all women, and. Lumps, tumors and all sorts of things one can feel in the breast can simple imaging techniques, such as a mammogram or breast ultrasound, can usually. How does the procedure work? These doctors are experts in this is a test that removes tissue or fluid from the breast to be looked at under a microscope and do if breast cancer is diagnosed, other tests are done to find out if cancer cells have spread within the. Breast cancer ultrasound images help confirm clinical findings suggesting the presence of malignant growth in the breast. Sometimes breast cancer can look like a fibroadenoma and fibroadenomas can look like a cancer on ultrasound. While it may look like a fuzzy, spotty television screen with different shades of grey to a patient, the ultrasound technician and the radiologist use these images. What does breast cancer look like? In mammograms, this glandular tissue looks dense and white — much like a cancerous tumor. Ultrasound is not used on its own as a screening test for breast cancer.
How does the age of a woman help us in the differentiation between a fibroadenoma and breast cancer? Ultrasound seems to be better than mammography for detecting invasive breast cancers and cancers without calcifications, a new study finds. Ultrasound of the breast is a method of studying the morphological structure of breast tissue with the help how does the cyst of the breast look like on ultrasound? In mammograms, this glandular tissue looks dense and white — much like a cancerous tumor. Lumps, tumors and all sorts of things one can feel in the breast can simple imaging techniques, such as a mammogram or breast ultrasound, can usually.
Breast Masses Cancerous Tumor Or Benign Lump from www.verywellhealth.com Ultrasound is useful for looking at some breast changes, such as lumps (especially those that can be felt but not seen on a mammogram) or changes it also costs less than a lot of other options. We teach you how a simple ultrasound of your axillary lymph nodes can tell you more about your breast cancer and expand your treatment options.visit the. How do you treat cancer? This does not mean that she has cancer or that she needs surgery. Breast ultrasound for cancer diagnostics. Breast cancer is the most common cancer found in women, but most breast lumps are not cancer. This is because younger women have denser breasts, which means a mammogram is not as effective as ultrasound in detecting cancer. Breast cancer ultrasound images help confirm clinical findings suggesting the presence of malignant growth in the breast.
A breast ultrasound is a painless procedure that uses sound waves to make images of the inside of your breast.
Look at this, for example, at the top of the page; Ultrasound does not replace mammography as a screening technique for breast cancer. Any area that does not look like normal tissue is a possible cause for concern. Breast cancer ultrasound images help confirm clinical findings suggesting the presence of malignant growth in the breast. Cancers that do not express er or pr are hormone receptor negative and need to be treated with chemotherapy unless the cancer is very small. Ultrasounds and mammograms, though very helpful, are not perfect. A breast ultrasound is a painless procedure that uses sound waves to make images of the inside of your breast. Sometimes breast cancer can look like a fibroadenoma and fibroadenomas can look like a cancer on ultrasound. These doctors are experts in this is a test that removes tissue or fluid from the breast to be looked at under a microscope and do if breast cancer is diagnosed, other tests are done to find out if cancer cells have spread within the. This is because younger women have denser breasts, which means a mammogram is not as effective as ultrasound in detecting cancer. Read about diagnosing breast cancer. Lumps, tumors and all sorts of things one can feel in the breast can simple imaging techniques, such as a mammogram or breast ultrasound, can usually. We teach you how a simple ultrasound of your axillary lymph nodes can tell you more about your breast cancer and expand your treatment options.visit the.
Cancers that do not express er or pr are hormone receptor negative and need to be treated with chemotherapy unless the cancer is very small. Problem solving, looking for a cyst or solid nodule the usual indication for an ultrasound for breast cancer would be a suspicious finding. Ultrasound of the breast is a method of studying the morphological structure of breast tissue with the help how does the cyst of the breast look like on ultrasound? Breast cancer is the most common cancer found in women, but most breast lumps are not cancer. Screening for breast cancer includes activities which test members of asymptomatic populations for breast cancer.
Multifocal Invasive Mucinous Carcinoma Of The Breast Ferguson 2020 Journal Of Medical Radiation Sciences Wiley Online Library from onlinelibrary.wiley.com Lumps, tumors and all sorts of things one can feel in the breast can simple imaging techniques, such as a mammogram or breast ultrasound, can usually. Reported sensitivities vary, but in general the overall sensitivity for detecting breast cancer. They may ask you to. What does the equipment look like? Breast ultrasound can detect breast cancer. In the right pane, the focal zone has been moved down the image, indicated by the white carrot and red arrow, note how the cyst has filled in with erroneous echoes making it look solid. Cancer is the unregulated growth and spread of cells viruses, chemicals and radiation. Although the exact cause of breast cancer is unclear, early detection and treatment saves lives and reduces cost.
Although the exact cause of breast cancer is unclear, early detection and treatment saves lives and reduces cost.
They may ask you to. Fortunately, it is becoming easier to diagnose the disease. There is no radiation involved in ultrasound imaging, which makes it a preferred method of diagnostic. How does a radiologist see breast cancer on mammography ? Screening for breast cancer includes activities which test members of asymptomatic populations for breast cancer. Breast cancer ultrasound images help confirm clinical findings suggesting the presence of malignant growth in the breast. Any screening examination, like any test in medicine, will have a false negative and a false positive rate. This is because younger women have denser breasts, which means a mammogram is not as effective as ultrasound in detecting cancer. Just like computers, medical ultrasound imagers have been getting smaller and smaller. This does not mean that she has cancer or that she needs surgery. A breast ultrasound is a painless procedure that uses sound waves to make images of the inside of your breast. Breast ultrasound uses sound waves to image the tissues of the breast. Learn more about the breast ultrasound the gel doesn't harm your skin or stain your clothes.
Nec aims to help solve a wide range of challenging issues and to create new social value for the changing world of tomorrow. Um futuro além da imaginação. Conheça nossos artigos de nossos especialistas sobre redes e … Every year, around seven million people come together at over 750 events at our venues and resorts world to learn, do business and be entertained. 07.04.2019 · nec philippines provides "solutions for society" that promote the safety, security, efficiency and equality of society. Necon Water Treatment System Nec 4000 And Sister Models from www.necon.de Líder em identificação e segurança digital. Every year, around seven million people come together at over 750 events at our venues and resorts world to learn, do business and be entertained. Provides "solutions for society" that promote the safety, security, ...
How To Make A Tent Card In Word / Double Sided Tent Card Template Word - Cards Design Templates : In this tutorial, you've learned how to make inexpensive, simple business cards in microsoft word. . In this tutorial, you've learned how to make inexpensive, simple business cards in microsoft word. Tent cards, created by folding a piece of card stock in half, can be a useful way to display table numbers or seating assignments at group events. The message should be handwritten on the inside of the card. How to make your business cards with indesign or photoshop. Click on the file menu in word in word 2007 or 2010, go to the page layout tab, click page color and select a color or fill effect. Brother creative center offers free, printable templates for cards & invitations. As your business gets larger, your business card needs become more sophisticated. Customize any auction, wedding or formal event with these custom tent. Custom table tents signs com. How t...
How To Make A Father's Day Card / 20 Free Father S Day Cards Best Diy Printable Dad Cards - Kids can color it in and add notes to make a very sweet card for dad: . The folded part of the white paper goes under the folded part of the frame. Place your chosen sports stickers all over the right side of the card. In this video, i am going to show you special cards making at home.please like the video, if you liked the card. A meaningful diy father's day card can take a lot of creativity and planning. We're all really excited to unveil our projects, and announce a new contest giveaway.to continue on your journey through our projects, simply use the blog hoppers links below. Make a father's day card the idea of making my own cards appeal to me, i like the idea of spending time being creative and making something that is personal! Father's day is almost here! Handprint yoda father's day card. This cool popsicle card from homeschool preschool can...
Komentar
Posting Komentar